Les raisons de ne pas aimer nos dents peuvent être nombreuses : trop espacées, endommagées ou décolorées, nos dents peuvent être la source de complexes. Heureusement il existe une solution pour avoir un sourire des plus agréables : les facettes dentaires.
Les facettes dentaires, qu’est ce que c’est ?
Les facettes dentaires sont de minces coquilles en porcelaine (ou céramique) que l’on fixe sur la surface des dents pour améliorer leur apparence. Elles peuvent être bénéfiques pour de nombreuses raisons, notamment pour corriger les dents ébréchées, tachées, tordues ou mal alignées.
Les facettes dentaires sont également utiles pour fermer les espaces entre les dents.
Enfin, elles sont une alternative moins invasive à la couronne dentaire, car elles nécessitent moins de préparation de la dent naturelle. En somme, les facettes dentaires sont un excellent moyen de retrouver un sourire éclatant et confiant en peu de temps et sans douleur.
Les facettes dentaires, Comment ça marche ?
Le principe est simple.
Après avoir légèrement préparé les dents, une empreinte de vos dents est réalisée et envoyée à un laboratoire spécialisé. Une fois confectionnées, le dentiste colle les facettes sur les dents concernées.
Autre point positif, la dent sur laquelle on fixe la facette est conservée vivante, nul besoin de la dévitaliser.
Deux à trois séances suffisent en général pour la pose de facettes sur une arcade complète : c’est l’un des traitements cosmétiques les moins invasifs et les plus rapides en dentisterie.
Enfin, on donne une durée de vie d’environ 10 ans aux facettes dentaires…

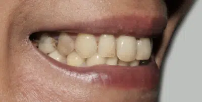
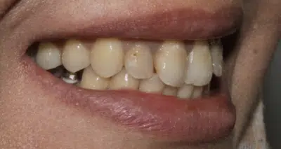
Galerie photos Avant-Après de cas de traitements par facettes dentaires

















